What are the symptoms of gingivitis ?

by

What are the symptoms of gingivitis ?

If you're here, it's because you're experiencing excruciating pain in your gums and jaw. You think it's gingivitis but you're not really sure. It is true that gingivitis is a common disease, but you should not ignore the symptoms thinking that they will disappear quickly without any appropriate treatment. To prevent and reduce the discomfort of gingivitis, you must first understand what the disease is.

Here is a guide that will help you understand what the main symptoms of gingivitis are and how you can treat this gum disease.

What is gingivitis ?

Gingivitis is a benign inflammation of the gums. However, it can quickly spread to the underlying tissues and turn into periodontitis: It represents the first stage of periodontal disease that affects the supporting tissues of the teeth, the main ones being the gum and the bone. Gingivitis that affects the gums is usually not painful. But, it must be diagnosed early because it can lead to complications. In fact, it should be considered as a warning signal of a slow process that can lead to loosening and loss of teeth. You should not hesitate to go see your dentist if it persists for more than a few days or if it comes back regularly.

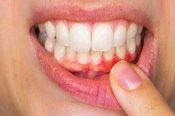
The main symptoms of gingivitis

1 - Red gums

The main symptom of gingivitis is red gums. Healthy gums have a light pink color and look like orange skin. Usually, you can see that your gums are red and purple when you look at them in a mirror. This is because the bacteria in plaque can cause gum inflammation, which is the early, benign stage of periodontitis.

2 - Swollen gums


When you have gingivitis, you have swollen gums in addition to the fact that they become irritated. This is a warning from your body to observe a more rigorous oral hygiene. They change texture and become increasingly soft. Swollen gums can quickly turn into a gum infection or abscess, which requires an intervention by a dental surgeon.

3 - Bleeding gums


Usually, your gums start to bleed after you brush your teeth. If not, then they bleed after flossing or using interdental brushes. You should see this bleeding gum as a warning sign. The easier they bleed, the more certain you can be that this is the early stage of gum disease. You will usually find tartar at the site of the bleeding.

4 - Loosening of the gums


Your teeth will start to look larger than usual and you will notice that your gums are receding or moving away from your teeth. This is another classic symptom of gum disease and not just a natural consequence of aging. It is characterized by a retraction of the gums around the teeth or gingival recession that can lead to the exposure of the dental root.

5 - Bad breath


Bad breath or having an excessively bad taste in the mouth can indicate early gum disease. Indeed, the accumulation of dental plaque on the tongue but also along the gum line between the tooth and the gum is usually the cause of bad breath. This is most often due to the fact that you neglect brushing the interdental spaces.

6 - Loose and more sensitive teeth


You will often notice significant changes in the way your teeth adjust when you bite down on something. You will see that they are not stable and that they move slightly. This is usually in the advanced stage of gum disease which is periodontitis. They will usually hurt more and more when you go to eat.

Treatments and surgeries to cure gingivitis

1) - An antiseptic mouthwash

These mouthwashes generally contain chlorhexidine or hexetidine. They reduce the formation of dental plaque by limiting the proliferation of certain micro-organisms. Their use must be limited in time, i.e. one to two weeks of use are recommended. Indeed, they can eventually unbalance the oral flora, alter the taste and even stain the teeth.

2) - Professional teeth cleaning


This is one of the best ways to descale your teeth. The dentist will remove plaque and tartar to treat gingivitis. However, maintaining good dental hygiene and flossing after the professional teeth cleaning are essential to maintain healthy gums. The time allowed for the treatment is between 30 and 60 minutes.

Here's how the professional teeth cleaning works: 

  • Your dentist first applies dye to your teeth to assess the presence of plaque and tartar on your gums
  • He or she then assesses the sensitivity of your gums to bleeding
  • He then removes the tartar from your teeth using ultrasound
  • He uses the deep scaling technique to remove tartar from below the gum line using ultrasound or scraping instruments
  • He continues the treatment with the AIR FLOW technique to remove residues and stubborn traces of tea, coffee and tobacco.
  • He then cleans the interdental spaces using dental floss, superfloss and interdental brushes.
  • The polishing of the teeth allows to soften and clean the dental plaque as well as the stains accumulated on the surfaces of the teeth
  • It ends with a sealing of the superficial grooves of the teeth

3)- Antibiotics to treat inflammation

As with most types of infection, antibiotics are often used to treat gum infections. It is necessary to have medical advice before starting treatment with antibiotics. It is used in conjunction with brushing your teeth with a soft or extra soft toothbrush and rinsing your mouth with a diluted antiseptic mouthwash 2 to 3 times a day.


Amoxicillin:
It is used to treat bacterial and non-viral infections. It is usually taken 3 times a day for 7 days.

Cyclosporine:
It is primarily used to reduce swelling of the gums. Its dosage is 2 to 7.5 mg/kg in 2 doses per day by mouth, with a minimum of one month before observing a good improvement.

Metronidazole:
This is a drug used to treat infections caused by parasites and anaerobic bacteria. It is usually taken 3 times a day for 7 days.

You can use the Y-Brush sonic toothbrush. It is a toothbrush with bristles inclined at 45° on the walls to brush without aggression of the gums and the gingival sulcus which allows to take into account your dental sensitivity and to do everything possible to make the antibiotic treatment effective.  

 

4)- Recourse to Gingivectomy

When the tissue covering the tooth enamel is swollen, the smile is altered and oral hygiene is difficult to ensure. A gingivectomy is a form of gum infection treatment that involves removing gum tissue. The goal of gingivectomy is to restore the gums to their natural shape, so that they remain healthy and can restore the harmony of the smile.

Here are the different contraindications to gingivectomy:

 

  • Insufficient oral hygiene
  • A height of attached gum less than 3 mm
  • Periodontal pockets associated with intraosseous lesions
  • The need for bone corrections.

5)- Dental curettage

Curettage is a treatment that consists in cleaning the root of the teeth located under the gum. Because of its complexity, the treatment is performed in specific steps under local anesthesia. It consists in cleaning the area between the gum and the teeth. The dentist passes a curette along the tooth under the gum to remove plaque (bacteria) and tartar. He treats inflammation of the tissues surrounding the tooth.

Here is how the dental curettage is done:

  • First, you are given a local anesthetic.
  • The dentist or periodontist cleans the infected space between the gums and the upper teeth by scraping along the tooth with special surgical tools called curettes.
  • Then, at the second appointment, he cleans the infected space between the gums and the lower teeth.
  • Finally, the practitioner prescribes anti-inflammatory painkillers most often if there are no contraindications.

6 ) - Root planing

This is a deeper scaling that removes the tartar located under the gum in order to facilitate the reattachment of the gum to the dental roots. This operation is performed under local anesthesia in one or more sessions. This cleaning allows the gum to reattach itself to the tooth and thus to allow the closure of the periodontal pocket but also to limit the risks of recurrence since the dental plaque will adhere less easily to a smooth tooth.

We hope that this guide has helped you understand what gingivitis is. We hope that you have understood the main symptoms of gingivitis that you may have. All treatments and surgeries can treat gingivitis as quickly as possible. However, you should ask your dentist which one is best for you depending on the stage of the inflammation.

THE PRODUCTS

Our Services

Lifetime warranty with subscriptions
48-hour customer service response
48-hour customer service response
Ships from the USA
En savoir plus
Top
Added To Cart :
Add To Cart Failed :
prouduct successfully added to wishlist !




Afin d’avoir une expérience personnalisée sur notre site, nous avons besoin de votre autorisation pour stocker des cookies de “Statistiques”.



Voir notre politique de confidentialité