Which antibiotic for gingivitis?

by

Which antibiotic for gingivitis?

Gingivitis is a very common problem in society, and is related to many causes. It can sometimes become complicated and lead to other much more serious problems. It is therefore important to know all the antibiotics that can properly treat your gingivitis.      

Here is a guide to what to do if you have gingivitis.  

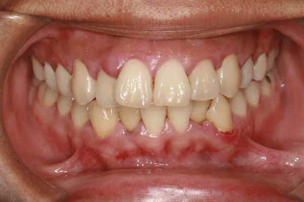
What is gingivitis ?

Gingivitis is directly linked to an accumulation of dental plaque responsible for an inflammation of the tissues supporting the teeth. Indeed, the bacterial proliferation favors the development of dental plaque. It is a sticky and painless coating that forms from salivary proteins, food waste and bacteria. A good way to remove plaque is to perform daily brushing at least twice a day. 

Daily brushing can be done with a sonic toothbrush such as the Y-Brush. It is a toothbrush that removes 15% more plaque than a traditional toothbrush. 

 

What makes a diagnosis of gingivitis?

Only a doctor who is trained in oral health care can diagnose gum disease. He or she will first examine your mouth thoroughly and ask you some questions. It is easily diagnosed by the appearance of the gums. The appearance of inflammation helps the dentist distinguish between a bacterial infection and a herpes virus. Gingivitis is sometimes the first sign of another condition such as diabetes or leukemia.

Here are the things that help diagnose gingivitis:

  • A review of your medical and dental history and any conditions that may be contributing to your symptoms.
  • An examination of your teeth, gums, mouth and tongue to look for signs of dental plaque and inflammation.
  • A measurement of the depth of the pocket between the gum and teeth: Performed by inserting a dental probe next to the tooth below the gum line, usually in different parts of the mouth. In a healthy mouth,
  • the depth of the pocket is usually between 1 and 3 millimeters (mm). Pockets deeper than 4 mm may indicate gum disease.
  • Dental X-rays: These are needed to check for bone loss in areas where the dentist sees deeper pockets.
  • Other tests as needed: If the cause of gingivitis is unclear, your dentist may recommend a medical evaluation to determine the existence of undiagnosed conditions. If your gum disease is advanced, your dentist may refer you to a gum disease specialist (periodontitis).

Treatment of gingivitis

Prompt treatment usually reverses the symptoms of gingivitis and prevents the development of more serious gum disease and tooth loss. You'll have a better chance of good treatment results if you also follow a daily routine of good oral care and stop smoking. Professional gingivitis care consists of several things.

Here's what gingivitis treatment consists of:

Dental cleanings with a professional


The first professional cleaning will be to remove all traces of plaque, tartar and bacterial products (a procedure called scaling and root planing). Scaling removes tartar and bacteria from the surface of the teeth and under the gums. Root planing removes bacterial products caused by inflammation, smoothes the surface of the roots - which prevents future tartar and bacterial buildup - and promotes proper healing. This procedure can be performed with instruments, a laser or an ultrasound device.

Use of appropriate antibiotic products


You can use daily mouthwashes with appropriate antibiotics to relieve your gum problems. 

Dental restoration if necessary


Misaligned teeth or ill-fitting crowns, bridges and other dental restorations can irritate the gums and make it difficult to remove plaque during daily oral care. If there are problems with your teeth or dental restorations that contribute to gingivitis, your dentist may recommend that these problems be addressed.

Continued attention


Gingivitis often heals after a thorough professional cleaning, as long as you continue to practice good oral hygiene at home. Your dentist will help you plan an effective home care program and establish a schedule for regular checkups and professional cleanings. 

If you follow oral hygiene at home, you'll notice that within a few days or weeks, you'll see healthy pink gum tissue again.

If you notice any symptoms of gingivitis, red or bleeding gums, inflamed gums, sensitive gums, bad breath, receding gums, etc., consult your dentist immediately. Only he will give you the most effective treatments against gingivitis. 

THE PRODUCTS

Our Services

Lifetime warranty with subscriptions
48-hour customer service response
48-hour customer service response
Ships from the USA
En savoir plus
Top
Added To Cart :
Add To Cart Failed :
prouduct successfully added to wishlist !




Afin d’avoir une expérience personnalisée sur notre site, nous avons besoin de votre autorisation pour stocker des cookies de “Statistiques”.



Voir notre politique de confidentialité