Is periodontitis contagious?

by

Is periodontitis contagious?

Periodontitis or receding teeth is a disease that affects the gums and the elements that surround the teeth. It destroys all the structures that support the tooth in an irreversible way. It is not contagious, but certain measures must be taken. It can be identified and treated before it gets worse. We give you the details on this oral disease.

Here is a guide to help you understand if periodontitis is contagious.

What is periodontitis?

Periodontitis is a periodontal oral disease caused by oral bacteria that are present under the gums. Over time, it can lead to tooth loss. When it is quickly detected and the subject has a good oral hygiene the disease can be stopped.

The causes of periodontitis

It is mainly due to :

  • Bacteria ;
  • To individual factors;
  • To risk factors.

Periodontitis can thus come from several sources, even from certain predispositions and habits. It is not contagious strictly speaking. However, it can be spread by the bacteria contained in saliva. It is therefore preferable not to be in contact with the saliva, toothbrush or kitchen utensils of a patient.

Bacteria
They are contained in the dental plaque. Other factors can also promote its progression. Plaque is a collection of cells made up of bacteria, micro-algae and bacteria that cover the surface of the teeth. It forms a deposit on the teeth. All these elements are bathed in saliva and gum fluid. They can vary from one person to another. They play a protective role.

Periodontitis is the imbalance created by the multiplication of pathogenic bacteria that leads to inflammation. This inflammation causes the release of harmful substances and enzymes that alter the epithelium at the level of the fusion of the teeth and gums. Bacteria accumulate and eventually destroy the structures that support the teeth.

Individual factors

Certain factors can favour periodontitis. Dental prostheses, orthodontic appliances, overlapping teeth can facilitate the accumulation of dental plaque.

Risk factors

Tobacco is a high risk factor for periodontitis. Nicotine and carbon monoxide promote the multiplication of bacteria. Diabetics, because of the weakness of their immune systems, must adopt a strict oral hygiene to limit the risk of periodontitis.

Poor dental hygiene can also promote this disease since dental plaque is not removed in an optimal way. Pregnancy, puberty and menopause can weaken the gums because of hormonal changes. Stress and age can unbalance the oral bacterial flora.

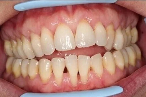
The manifestations of periodontitis

Many symptoms can alert you to periodontitis. You have among others:

  • Bleeding with the brush of your gums but also during brushing ;
  • The abnormal swelling of the gums with a bright red color;
  • Bad breath;
  • Gum separation and teeth that no longer hold.

All these signs should alert you to the possibility of suffering from periodontitis and the need for you to consult a doctor.

How to treat periodontitis ?

In order to control the infection and repair the damaged tissues, it is necessary to proceed with scaling and dental surfacing. 

Scaling consists of removing plaque and tartar that accumulates between the teeth and gums. It will then be necessary to remove the contaminated areas and polish the areas that are favorable to deposits.

For more serious cases where the periodontal pockets are more accentuated, antibiotic therapy is necessary. It will be carried out by a health professional. Surgery may also be necessary to regenerate the tissues, fill the damaged areas and recreate the bones.

Preventing periodontitis

Rather than treating this disease, you can adopt certain habits to prevent it. Hygiene remains the fundamental point in the fight against this disease. You must take care of it.

You should brush your teeth daily with a soft toothbrush at least twice a day for at least 3 minutes. You must brush your teeth and gums. Brushing is done from the gum to the tooth.

You can use dental floss to clean hard-to-reach areas. Local mouthwashes as well as bicarbonate and hydrogen peroxide are also very effective in maintaining your hygiene.

A medical follow-up by a health professional is necessary to prevent and detect any risk of periodontitis.

You can use the Y-Brush dental floss. It is a dental floss with an ecological handle. It is made of biosourced vegetable plastic and is perfectly biodegradable. It allows to clean efficiently and gently between each tooth and is very easy to use thanks to its handle. The floss is easily inserted in the interstices and interdental spaces, and does not damage the gums.  

The possible consequences of periodontitis

Generally speaking, there are very few complications from periodontitis. However, if it is treated too late or in an aggressive way, it can lead to tooth loss. Sometimes the dentist has to pull out several of your teeth to prevent the infection from spreading. In the most serious cases, periodontitis is also a risk factor for cardiovascular diseases and bronchopulmonary infections. It could also unbalance diabetes or cause premature delivery in pregnant women. It is therefore up to your dentist to provide you with the most appropriate treatment and oral care.

We hope that this guide has helped you understand what periodontitis is and its different causes. It is also important to understand how it manifests itself so that you can better deal with it each time. It is also important to put in place a set of gestures that will allow you to avoid knowing about it too often. If you go to a dentist on a regular basis, you won't have problems with complications from periodontitis. Also pay special attention to gingivitis

THE PRODUCTS

Our Services

Lifetime warranty with subscriptions
48-hour customer service response
48-hour customer service response
Ships from the USA
En savoir plus
Top
Added To Cart :
Add To Cart Failed :
prouduct successfully added to wishlist !




Afin d’avoir une expérience personnalisée sur notre site, nous avons besoin de votre autorisation pour stocker des cookies de “Statistiques”.



Voir notre politique de confidentialité