What do you need to know about tooth decays ?

by

What do you need to know about tooth decays ?

Teeth are very important because of the role they play. If they become infected with bacteria, the risk of developing dental disease is high. This is called tooth decay and causes intense toothache. This is true whether it is deep or on the surface. Find out everything you need to know about deep and the tips you need to know to deal with them.

Here is a guide to everything you need to know about deep tooth decay.

What is a deep tooth decay ?

Tooth decay will first attack the surface of the enamel but you will not feel any pain. However, if it is not treated in time, this bacterial attack turns into a deep cavity, which causes sensitivity and pain. It is important to recognize a deep cavity as soon as possible, in order to treat it and prevent it from creating health complications.

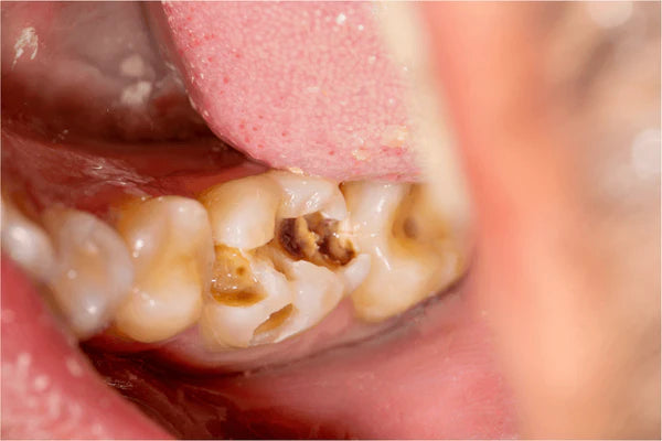
How does a deep cavity manifest itself?

Tooth decay is a toothache that occurs as a result of poor dental hygiene. This pathology becomes more serious when it takes a deep turn. At first, tooth decay attacks the enamel without showing any signs. Over time, you will become sensitive to certain types of meals. These include those that are sweet, icy or even too hot. In this case, it is the dentin that is affected, exposing the tooth to a bacterial infection. A small cavity will then appear in the areas not protected by the gum.

This is when deep cavities start to appear little by little. This evil will develop and extend to the pulp of the infected tooth. The pain will gradually develop and intensify day by day. This is due to the presence of nerves in the dental pulp. The pulp, because of the infection, will be destroyed in its entirety. This is called pulp necrosis and will accelerate the loss of your tooth. It should be noted that bacteria can infect your entire body through the various blood vessels present. 

How to recognize a deep tooth decay ?

It is particularly important to know that deep caries evolves in five stages:

  • The first stage: dental caries does not manifest itself by any symptoms. It will demineralize the enamel without losing any of its material.
  • The second stage : the decay attacks the enamel of your teeth. A black spot will become visible but you will not notice any other symptoms and therefore no obvious pain.
  • The third stage :  The dentin will be affected, the person who suffers from dental caries evokes a sensitivity to cold, hot, sweet, and acid. The pain is intermittent and its intensity varies according to the time of the day, and it is located only at the level of the affected tooth. A cavity will appear on the dental crown which is not covered by the gum. To protect itself from the bacterial attack, the tooth produces dentin to prevent the pulp from being affected.
  • The fourth phase: The decay will reach the dental pulp, which will cause the tooth to become infected. The symptoms are those of "toothache", in other words: an intense, constant, sudden pain that spreads throughout the area of the face where the affected tooth is located. The pain is due to the fact that the pulp is a tissue containing many nerves. The dentin is no longer able to control the bacterial attack, and the pulp is gradually destroyed.
  • The fifth phase: This is the stage of pulp necrosis. The decay has invaded the pulp, which is irremediably destroyed. Beyond the definitive loss of the tooth, complications on the general health are to be feared, at the cardiac and articular levels, etc. Indeed, the bacteria spread throughout the body via the blood vessels contained in the dental pulp.

How do you deal with deep tooth decay ?

There are several treatments available for deep cavities. This is true regardless of the stage at which it occurs.

See a dentist


The first option for treating tooth decay is to see a dentist. First, he or she will take an x-ray to determine the extent of the infection. Only then will he suggest proper dental care. If the cavities have not caused much damage, the dentist can fill the cavities with certain materials. These include composite or amalgam, which you will have to choose according to your basic budget.

In other circumstances, he will remove all the infectious tissues that are present in the teeth. This is reinforced with a filling to prevent a possible relapse.

To proceed with a devitalization of the decayed tooth


Devitalization of the infected tooth is an effective solution to this pathology. This is a radical method to reduce the damage of the decay. If the decay is deep, your tooth will be more and more painful. You will have to go to the dentist in order to find a solution against its extraction. This is necessary because it is not possible to keep the tooth alive. The tooth can be devitalized with the use of a local anesthetic. After the procedure, the nerve that is damaged in the tooth can be removed, thus greatly reducing the damage.

Placing dentures


If the decay has seriously damaged the tooth, it is advisable to consider placing a denture. Dentures will protect the root of the tooth as well as the crown. It is an effective way to stop the development of cavities. Before its installation, the dentist must proceed to the disinfection in the least details of the tooth. If you do not choose a prosthesis, you can choose a dental implant or even a bridge. In both cases, the aesthetics and durability are there. One important thing is that the placement of the prosthesis could be complicated if a dental abscess appears in the meantime. 

How to prevent tooth decay?

The best way to avoid the appearance of a deep cavity is to have a good oral hygiene. This requires the adoption of certain simple daily gestures. First of all, you must brush your teeth regularly with fluoride toothpaste. This should be done after each meal, as recommended by dentists.   

It is important to use soft brushes that will not damage the gums. Please reduce the amount of sweet or acidic food in your diet, which will avoid any kind of aggression to your teeth. Finally, it is a good idea to visit a dental office every three months to check for tooth decays.  

You can use the Y-Brush toothbrush. It is a toothbrush with soft and fine bristles that allow to take care of your fragile and sensitive gums in case of oral problems such as tooth decay.  

We hope that this guide has helped you understand what deep cavities are and how they manifest themselves. We also hope that you will be able to recognize it if you ever see the different phases we have described. All of the solutions to deal with tooth decay also require that you pay attention to your oral hygiene.

THE PRODUCTS

Our Services

Lifetime warranty with subscriptions
48-hour customer service response
48-hour customer service response
Ships from the USA
En savoir plus
Top
Added To Cart :
Add To Cart Failed :
prouduct successfully added to wishlist !




Afin d’avoir une expérience personnalisée sur notre site, nous avons besoin de votre autorisation pour stocker des cookies de “Statistiques”.



Voir notre politique de confidentialité