The black dental groove

by

The black dental groove

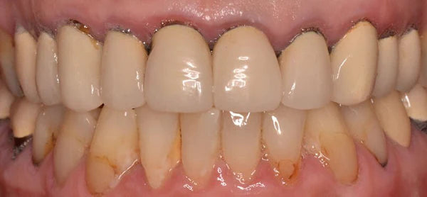
The black dental groove is also called by dentists "supra-gingival tartar", and appears very often in the places where saliva usually flows, such as on the inner surface of the teeth, or on the space between the teeth. There are products on the market for the treatment of black dental groove that affects the enamel of the teeth, but only the best advice is to approach your dentist, even if it is for children.

Almost all dental problems could be avoided through mouth hygiene, toothbrushing with a proper toothpaste and daily flossing. One of them, supra and subgingival tartar, is extremely common, but many people believe they can solve it by themselves, with home recipes.

For those who suffer from this problem of black dental grooves with black stains on the teeth and especially on the molars, it is important to know the solutions available in dental offices. In this article, you will understand everything about the black dental groove, which we will call supragingival tart.

Here is a guide that will allow you to understand everything about the black dental groove

What is supragingival tartar?

Dental calculus is an excess of calcified bacterial plaque (or biofilm) that accumulates on the surface of the teeth. After 21 days without proper removal, this residue begins to settle on the tooth object. In the saliva, they find calcium ions, which help mineralize this material and form this visible crust, impossible to remove at home.

There are two types of tartar, which vary according to location:

  • supragingival is at the top, on the visible part of the teeth, above the gum line. It has a hard and rough consistency. It can be perceived by the yellow or whitish color. It is concentrated in the anterior mandibular region;
  • the subgingival is not visible to the naked eye, because it is located under the gum line. It can only be seen in the transparency of the gingival tissue.

What causes the pathology?

The primary cause is poor diet and brushing, which leave various residues, such as dead cells, food and food scraps, mineral salts, sugars and bacterial plaque. However, even with proper cleaning, the brush cannot reach certain areas of the dental arch, such as the space between the teeth. Thus, without flossing after each brushing, these excesses accumulate and calcify, forming tartar.

Certain health problems, cigarette smoking and the constant consumption of tea and coffee also contribute to its appearance.

Supra and subgingival calculus: What problems can it cause?

Supra- and subgingival calculus is related to periodontal diseases such as gingivitis. Although apart from the aesthetic problem, it has no direct traumatic effect, it facilitates the installation of bacterial plaque in the area. This can lead to a number of inconveniences:

  • Periodontitis: inflammation of the tissues, bones and ligaments that support the teeth. An excess of bacteria between your gums and teeth can loosen them, leaving small gaps or pockets where more plaque can accumulate. Over time, these gaps widen and weaken the bones and teeth;
  • Gingivitis: a gum infection;
  • Tooth loss;
  • Tooth decays.

Homemade descaling before specialist treatment

Hydrogen peroxide

This is a natural remedy to get healthier and whiter teeth. It should be used once a week with baking soda.

Activated charcoal

It helps to make your teeth bright. It also prevents oral diseases. Just sprinkle your toothbrush with this product.

Parsley

It is used as a mouthwash. Just take some leaves and let them infuse in boiling water for about ten minutes.

Orange peel

For this technique, use the inner part of the skin of an orange. Rub the peel on the scaled areas for a few minutes.

Strawberries

Strawberries contain natural acids that reduce the growth of bacteria. Simply take two strawberries and puree them.

Lemon juice

Lemon helps fight tartar. Just take half a lemon and pour the juice into a cup of warm water and make a mouthwash.

Specialist treatments

Although many recipes for removing supra- and subgingival tartar from patients are available on the Internet, only one dentist has the expertise to perform this process after giving advice. These recipes can bring serious problems to the individual.

Baking soda powder, for example, is highly recommended for removing tartar and making teeth whiter. However, its cleaning power is purely abrasive. Depending on how often the individual uses it while brushing, it can make the tooth surface very sensitive.

In the office, there is a sodium bicarbonate spray during prophylaxis, but it is only an adjunct in the removal of tartar. Therefore, the product itself does not have the power to remove calcification.

The methods used to eliminate the black dental groove are:

  • Tartarectomy;
  • Dental polishing;
  • Dental curettage;

If you notice a black tooth groove on your teeth, or even teeth that are turning black or have plaque on them, see your dentist immediately.

How to prevent tartar build-up

A good way to prevent supragingival tartar formation is to have the right oral reflexes to avoid its appearance.

Here are the two most common ways to prevent it:

  • Brush your teeth properly: it is important to brush your teeth at least twice a day, in the morning and at night. To be most effective, brushing should be done from the gum to the tooth and from pink to white. You should not press too hard to avoid weakening and irritating the gums. In addition, it is important to use dental floss or interdental brushes to clean the interdental spaces and therefore brush the dentin thoroughly.
  • Adopt a good diet: it is particularly important to eat foods that are less fatty, sweet or contain coloring. However, starchy foods such as bread or pasta should be avoided. You can eat them only if you brush your teeth 30 minutes after your meal. You can drink water between meals in order to remove the remains of food. This also balances the pH of your oral cavity. 

The Y-Brush toothbrush is a toothbrush that allows you to remove most of the tartar on your teeth. You don't need to worry about brushing all sides well and everywhere thanks to the bristles present on the whole brush and their inclination.   

We hope this guide has helped you understand what supragingival tartar is, what causes it and the problems it can cause. It is important to start with home scaling to remove tartar and then follow up with treatments by specialists. You can then prevent the formation of supragingival tartar. Tooth whitening is definitely not recommended.  

THE PRODUCTS

Our Services

Lifetime warranty with subscriptions
48-hour customer service response
48-hour customer service response
Ships from the USA
En savoir plus
Top
Added To Cart :
Add To Cart Failed :
prouduct successfully added to wishlist !




Afin d’avoir une expérience personnalisée sur notre site, nous avons besoin de votre autorisation pour stocker des cookies de “Statistiques”.



Voir notre politique de confidentialité