How to remove tartar from your teeth and prevent its appearance?

by

How to remove tartar from your teeth and prevent its appearance?

If you are here, it is because you have experienced tooth and gum pain or bleeding when brushing your teeth. You have probably been told that this is due to tartar. However, you don't really know what it is, where it can be found and especially how to remove it.

Here is a guide to help you understand how to remove tartar from your teeth and prevent its appearance.

What is tartar or calcified plaque ?

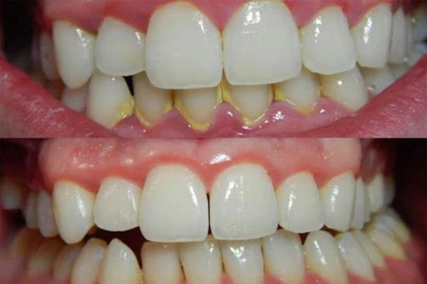
Tartar is an accumulation of dental plaque. It is composed of food residue and bacteria that cover your teeth and gums. It usually deposits on the lower incisors and the outside of the upper molars because a particularly large amount of saliva collects in these areas. The fluid that escapes has important protective and digestive functions, but in combination with poor oral hygiene, it leads to disease. On the other hand, if solid plaque forms in the visible dental area, it is called supragingival calculus. Tartar can also form under the neck of the tooth and thus be covered by the gums. This is called subgingival calculus or tartar. 

It is mainly composed of :

  • Hydroxyapatite, apatite;
  • Proteins, carbohydrates;
  • Minerals such as brushite and whitlockite;
  • Microorganisms;
  • Remains of tissues.

How is dental plaque and therefore tartar created ?

The cause of the formation is the inorganic composition of the saliva. These inorganic substances tend to accumulate in the soft coatings of the teeth. A chemical reaction occurs and the deposits harden: stubborn tartar is formed.

Every oral cavity contains a multitude of germs that are part of the natural and healthy oral flora. Regular and proper brushing of your teeth removes food residues and prevents too many germs from settling in, which then use the food components for your metabolism. Poor oral hygiene and crowded teeth promote the formation of plaque. Inadequate flossing also leads to faster formation of plaque and solid deposits - especially in the lower incisor area.

Tartar develops in four phases:

1 st phase:
a thin layer of plaque forms on the natural tooth enamel only four hours after brushing, but it does not yet contain bacteria.
2nd phase:
Food remains are the basis for the multiplication of caries pathogens in the oral cavity. These bacteria also cling to the thin layer of saliva.
3rd phase:
Over time, plaque accumulates on the teeth.
4th phase:
If the plaque is not removed, it can mineralize in 8 to 10 days, resulting in tartar.

How can tartar affect teeth and gums ?

Tartar cannot be completely avoided and it affects your dental health. Plaque, from which tartar forms, is always deposited on your teeth naturally. On the one hand, tartar can grow and, on the other hand, it also provides a breeding ground for bacteria. The acids secreted attack the enamel of the teeth and can then lead to tooth decay which, if left untreated, penetrates the interior of the tooth to the root. Severe inflammation can lead to tooth loss or even more serious health complications if the inflammation spreads to the heart or brain.

Bacteria can also cause irritation or inflammation of the gums. Gum inflammation can usually be resolved with careful dental care and the use of mouthwash. However, if the gingivitis worsens, periodontitis can occur. This can lead to bone resorption and tooth loss.

How to remove tartar from your teeth ?

The most important thing you need to know about tartar removal: calcified plaque cannot be completely removed with a toothbrush, but must be removed by the dentist.

While soft deposits (plaque) can be easily removed with a toothbrush and dental floss, professional cleaning and treatment of the teeth at the dentist is useful for plaque that has solidified, and therefore for tartar.

This requires the use of special devices such as curettes or ultrasound instruments. The dentist uses curettes by hand, while ultrasound is performed by machine. Ultrasound uses high-frequency, heat-generating waves. The resulting vibrations cause solid deposits on the teeth to flake off.

You can also use a Y-Brush toothbrush that will make it easier to remove tartar from your teeth.

 

You can prevent tartar with comprehensive dental care

You lay the foundation for successful tartar prevention with careful and regular dental care.

Here are the different dental care steps that are important to take: 

  • Brush your teeth at least twice a day for at least two minutes.
  • Use an electric toothbrush: Electric toothbrushes may not be more advanced, but they make it easier to thoroughly clean your teeth because no brushing technique is innate. It should be a soft to medium hard brush with a brush head that is not too large and hygienic plastic bristles.
  • Don't neglect the hardest to reach areas on the inner tooth surfaces and the tooth surfaces of the back molars. You can only remove plaque from the spaces between your teeth by flossing regularly.
  • Also choose a toothpaste that contains fluoride, as this helps repair damaged tooth enamel (fluoride content of 1000 ppm - 1500 ppm).   

 

Home remedies to remove tartar from your teeth

Walnut shells

You can prepare a decoction made of walnut shells and water. To do this, you need to take 50 grams of walnut shells and boil them in a pot filled with water. Then, you must wait 10 minutes to let the preparation cool down so that it is cold enough to dip your toothbrush in it. Finally, you can let it soak in the liquid for a while and brush your teeth for 5 minutes. You can repeat this treatment after each meal.

Baking soda


You can mix with salt or lemon, baking soda to prevent and fight dental tartar or even predict it. The principle is to make a paste with baking soda and lemon juice or with salt and water. You can make this preparation with a soft toothbrush. It is not necessarily necessary to rub hard because it will irritate your gums. This treatment should be done occasionally because it could damage the enamel of your teeth.

Orange peels


They contain limonene which is a substance that will act on dental tartar and help to eliminate it. You can use preferably organic oranges, and rub your teeth with the white side of the peel. If this use is not convenient for you, you can always make a kind of paste by reducing the orange peel in small pieces that you will mix with a little water.

You can also use toothpaste tablets that keep your teeth clean at all times without having to scrub too much with your toothbrush.

We hope this guide has helped you understand how to spot tartar or calcified plaque on your teeth. We hope that you have understood how tartar develops on your teeth and how it affects your teeth and gums. If you use the techniques we have discussed, you will be able to remove tartar from your teeth quickly.

THE PRODUCTS

Our Services

Lifetime warranty with subscriptions
48-hour customer service response
48-hour customer service response
Ships from the USA
En savoir plus
Top
Added To Cart :
Add To Cart Failed :
prouduct successfully added to wishlist !




Afin d’avoir une expérience personnalisée sur notre site, nous avons besoin de votre autorisation pour stocker des cookies de “Statistiques”.



Voir notre politique de confidentialité