All about ulcerative periodontitis

by

All about ulcerative periodontitis

Ulcero-necrotic periodontitis is a very advanced phase of periodontitis that can have serious consequences on health. It is a disease that is prevalent in many people due to popular neglect of periodontal disease. What is ulcerative periodontitis? How can it be avoided? We tell you everything in this guide.

Here is the guide that will allow you to know everything about ulcerative periodontitis. 

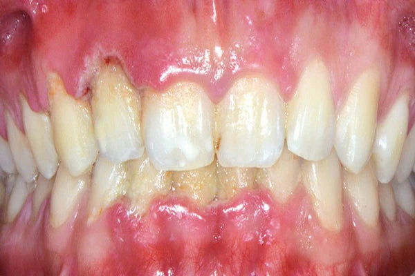
What is ulcerative periodontitis?

Periodontitis is an infection of the gums that can cause teeth to fall out. It is a disease that usually follows untreated gingivitis. In its mild form, it affects an average of 7 out of 10 adults, which represents a significant number of people. It is a disease that can manifest itself by bleeding when brushing and swelling of the gums.

Ulcero-necrotic periodontitis is a very advanced form of periodontitis. It causes the destruction of the bone part and the supporting tissues of the gum. The latter is then severely damaged which can lead to acute pain. It is a gum disease that can develop at an impressive rate and affect a larger number of teeth. Moreover, ulcerative periodontitis, when it is not treated very quickly, can have more important consequences on the whole organism. 

What are the causes of ulcerative necrotic periodontitis?

The main cause of ulcerative periodontitis is neglect. Generally, periodontitis occurs when gingivitis is not properly treated. Necrosis occurs when you do not eliminate your gingivitis and maintain poor oral hygiene.

More specifically, the disease is caused by an accumulation of harmful batteries in the openings of the gums. These batteries come from the remains and debris of the food you eat every day. A dental plaque is then formed and becomes a favourable environment for the development of batteries. These will successively create gingivitis, then periodontitis which will evolve into ulcerative periodontitis.

Nevertheless, it should be known that periodontitis can also have other origins. It can come from the consumption of tobacco and alcohol or be the symptom of another more severe disease such as AIDS. It is a disease that can also appear with age or can simply be hereditary. 

What to do in case of ulcerative periodontitis?

What you need to know is that you should not wait for ulcerative periodontitis to appear before reacting. As soon as the first signs of chronic periodontitis appear, it is important to go to the dentist. The latter will perform the necessary analyses to evaluate the extent of the disease and propose an adapted periodontal treatment. He will also carry out a scaling and a surfacing of your entire mouth wall.

As a general rule, when it comes to ulcerative periodontitis, it is the dental surgeon who intervenes and applies the necessary dental care to correct the disease. On your side, the best thing to do when you have ulcerative periodontitis is to try to keep a good oral hygiene. This will help slow down the progression of the disease before the professional intervenes. 

How to prevent ulcerative periodontitis ?

To prevent this advanced form of periodontitis, start by taking your gingivitis (if you have it) more seriously. This is the best way to prevent it from worsening to the stage of necrosis.

Next, you'll need to improve your oral hygiene. This means brushing your teeth three times a day, flossing to remove food debris and using mouthwash to clean the mouth wall. Brushing should of course be done with a soft-bristled toothbrush or an electric toothbrush.

Also, you will need to improve your eating habits. This means reducing your sugar intake and eliminating tobacco and alcohol. In addition, you should no longer neglect visits to the dentist. Your dentist is in the best position to detect the possible risks of periodontitis and to provide you with the best advice to face it.

To summarize, ulcerative periodontitis is caused by neglected gingivitis that has attacked the periodontium of a gum. As soon as the disease is identified, self-medication is not an option, but rather a visit to the dentist. The dentist is the only one who can provide the necessary care to fight the infection.

The sonic toothbrush with soft and fine bristles such as the Y-Brush. It will undoubtedly be your best ally in case of ulcerative periodontitis. Indeed, it is a toothbrush which allows to take care of the teeth and the sensitive gums.

We hope this guide has helped you understand what ulcerative periodontitis is. We also hope that you have understood the causes of ulcerative periodontitis. Your dentist is the only person who can tell you what to do about ulcerative periodontitis and how to prevent it from happening again.

THE PRODUCTS

Our Services

Lifetime warranty with subscriptions
48-hour customer service response
48-hour customer service response
Ships from the USA
En savoir plus
Top
Added To Cart :
Add To Cart Failed :
prouduct successfully added to wishlist !




Afin d’avoir une expérience personnalisée sur notre site, nous avons besoin de votre autorisation pour stocker des cookies de “Statistiques”.



Voir notre politique de confidentialité