Acute gingivitis: all you need to know

by

Acute gingivitis: all you need to know

Acute gingivitis is an inflammation of the gums and is a fairly common disease. When it first appears, gingivitis remains painless and then worsens. It can lead to difficulties in chewing and even to the loosening of teeth. People with gingivitis do not necessarily realize it until they visit the dentist. To avoid this gum infection, good oral hygiene is the best solution. Want to know more about acute gingivitis? We'll tell you all about it here.

Here is a guide that will help you learn more about acute gingivitis.

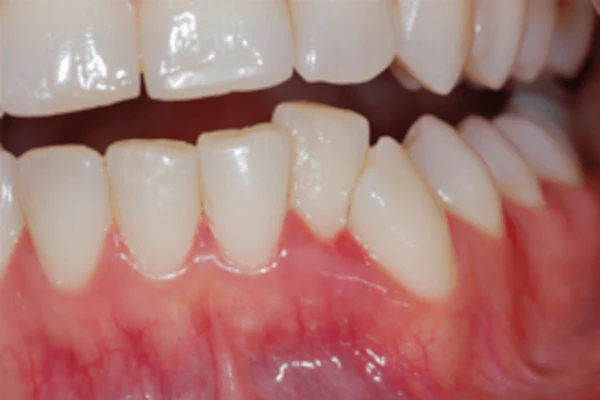
What is acute gingivitis?

It is a painful infection of the gums that causes fever, foul breath and a feeling of discomfort. If the normal bacteria of the oral cavity proliferate, the gums can become infected in a very serious way.

What causes acute gingivitis

Gingivitis is mainly caused by poor oral hygiene. The latter will allow a rapid formation of dental plaque and tartar. In fact, many bacteria are considered responsible for gingivitis. They accumulate at the very base of the gums, at the level of the roots of the tooth. These different species of bacteria are all called plaque.

This is a universal name that allows us to group them together. In reality, plaque is a film that is not composed of bacteria alone. Plaque is also formed from salivary proteins, sugars and acids that are deposited on the teeth. When teeth are not brushed properly, this plaque will thicken and harden. This happens especially when we spend several days without brushing our teeth. It will then form tartar which in turn will lead to the appearance of gingivitis.

From that moment on, the toothbrush will no longer be really effective in removing this bacterial plaque. The more tartar there is on the teeth, the greater the impact on the gums. When gingivitis worsens, it becomes periodontitis. It is therefore important to have good oral hygiene and to brush your teeth regularly.

You can test the Y-Brush toothbrush to brush your teeth. It is a toothbrush that has sonic vibration modes that you can choose according to your dental sensitivity which is perfectly useful in case of oral disease such as this. 

 

Acute gingivitis: what are the symptoms?

Bacterial gingivitis does not normally cause pain, even when there is bleeding of the gums. Acute gingivitis is a rather serious form of gingivitis for which treatment must be found quickly. It quickly leads to swelling, bleeding, painful gums and bad breath. The gums become grey and sometimes even deformed.

This disease is quite often observed in smokers, but also in cases of intense stress. Gingivitis is associated with health problems such as heart attacks, lung diseases, etc. Gingivitis can be diagnosed quite easily simply by the appearance of the gums. Inflammation is a sign that allows the doctor or dentist to recognize a bacterial infection caused by a herpes virus.

By taking samples, it is possible to learn more about the microbes that triggered the disease. Gingivitis can also be a primary sign of another condition such as diabetes or leukemia.

Prevention and treatment methods for acute gingivitis

When faced with this disease, it is important to take preventive measures to avoid complications. To prevent gingivitis, regular brushing of the teeth is undoubtedly an effective solution. Using a toothpaste specially designed to fight tartar will also be effective. Antibacterial mouthwashes, especially those containing chlorhexidine, play a role in preventing the disease.

However, you should be careful with those containing a lot of alcohol, as they can be irritating when the gums are already affected. Electric toothbrushes are more effective in removing the plaque that causes gingivitis. If the infection is too severe, the dentist may prescribe an antibiotic to quickly control the disease.

When plaque becomes tartar, the dentist will be able to remove it. Dentists recommend a thorough cleaning of the mouth every 6 months or once a year. The treatment of a first gingivitis could be done by removing the plaque and tartar. After the removal of plaque and tartar, the inflammation in the gums will subside more quickly. For other people with predispositions, a professional cleaning will be required every 3 months. 

In some cases, it will be a cleaning every two weeks to control the disease. When the disease progresses to the point of periodontitis, a deep periodontal cleaning may be necessary. Sometimes, periodontal surgery may be necessary. This involves opening the gums to gain access to the infected area. The dentist then removes the infected tissue and completely cleans the inside of the mouth.

We hope this guide has helped you understand what acute gingivitis is and what the causes and symptoms are. Prevention methods and treatment of acute gingivitis should not be overlooked if you want to cure your gingivitis and not get it again. 

THE PRODUCTS

Our Services

Lifetime warranty with subscriptions
48-hour customer service response
48-hour customer service response
Ships from the USA
En savoir plus
Top
Added To Cart :
Add To Cart Failed :
prouduct successfully added to wishlist !




Afin d’avoir une expérience personnalisée sur notre site, nous avons besoin de votre autorisation pour stocker des cookies de “Statistiques”.



Voir notre politique de confidentialité