Is gingivitis contagious: what you need to know?

by

Is gingivitis contagious: what you need to know?

Poor oral hygiene is partly to blame for gum disease. Gingivitis is one of the most damaging of these. It is a disease that must be treated quickly or it can lead to tooth loss. All the more reason to pay special attention to your oral health. Find out everything you need to know about gingivitis, from the causes to the appropriate treatments. 

What is gingivitis?

Gingivitis is an inflammation of the gums. If it worsens, it can turn into periodontitis which is an inflammation of the tissues that attach the tooth to the jaw. It symbolizes a bad oral hygiene which favors the formation of dental plaque and tartar. Chronic gingivitis can become complicated by periodontitis: the gum attachment around the teeth deteriorates and the bone that holds the tooth roots crumbles. This is called periodontitis. Periodontitis can be aggravated by diabetes, vitamin deficiency or hormonal disorders.

What is gingivitis and is it contagious?

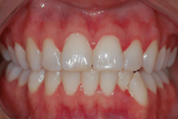
First of all, it is important to know that gingivitis is not a contagious disease. There is no way a person who has it can pass it on to you. In simple terms, gingivitis is described as a sudden inflammation of the gums. In response, the gums lose their natural appearance and turn red. This infection is mainly due to certain pathogens that are present in the oral cavity. 

Thus, sensitive and swollen gums can be victims of bleeding on a fairly frequent basis. This blood flow can be accelerated by brushing the teeth. Like periodontitis, gingivitis is a disease that shows almost no symptoms once it is triggered. If it is discovered late, the infection of the gums would have taken a much greater dimension. This will make the disease in its most dangerous form and therefore difficult to treat.

You can brush your teeth with a sonic toothbrush such as the Y-Brush. It is a toothbrush that removes 15% more plaque than a traditional toothbrush so that you can take better care of your teeth if you have oral disease.

What causes gingivitis?

Gingivitis is a dental disease caused by many factors. It is caused by the strong presence of bacteria in the mouth, so poor dental hygiene can be the cause. The second cause of the appearance of gingivitis is the dental plaque. Plaque is a substance that forms with saliva, food debris or acids. If it is not quickly eliminated, it will become tartar. The latter will attack the healthy gums and create their loosening of the cavity.

Apart from these biological elements, certain daily habits are real causes of gingivitis. Among others, there is the consumption of too sweet or acidic foods. These elements take time to disappear and also contribute to the proliferation of bacteria. In addition, alcoholism and smoking contain active ingredients that accelerate the formation of tartar. The misalignment of teeth or even of a dental prosthesis and a misplaced implant can give rise to gingivitis.

Finally, taking certain medications and contracting certain diseases are also responsible. Very few people know it, but gingivitis can be hereditary and appear in spite of a healthy lifestyle. 

What are the symptoms of gingivitis ?

Many signs appear over time to show that you are developing gingivitis. Gingivitis has symptoms that are almost identical to periodontal disease. The very first one to give you a clue is the swelling of the gums. It is the main warning sign of this disease. This will be followed by increasing pain and bleeding gums. However, these symptoms can appear very late and distort your diagnosis.

In addition to these signs, the appearance of bad breath and a dental abscess should be taken seriously. In some cases where the bacterial infection is advanced, the disease will manifest itself through tooth sensitivity in relation to certain meals. As the disease develops, the supporting tissues of the teeth will detach. This will cause the infected gum to gradually recede. Don't wait until you feel all of these symptoms before going to the dentist. As soon as your gums seem painful, don't hesitate to go to a dental office to get the necessary care.

How is gingivitis treated

Gingivitis is a disease of the gums that affects the mouth, but also the general health. Several treatments are possible to stop its evolution and eliminate it. If the gingivitis is still in its early stages, all you have to do is brush your teeth effectively with a quality toothpaste. This way, you will stop the accumulation of tartar and bacterial plaque.

It is also recommended to use an antiseptic mouthwash and one that strengthens the gums. If the gingivitis persists after using all these means, it is necessary to visit the dentist. He will perform scaling and remove the tooth if possible.

We hope that this guide has helped you understand what gingivitis is and that it is not contagious. You need to understand all the causes and symptoms so that you are not surprised when your dentist tells you about the one that concerns you. Only he will know which treatment is best for you.

THE PRODUCTS

Our Services

Lifetime warranty with subscriptions
48-hour customer service response
48-hour customer service response
Ships from the USA
En savoir plus
Top
Added To Cart :
Add To Cart Failed :
prouduct successfully added to wishlist !




Afin d’avoir une expérience personnalisée sur notre site, nous avons besoin de votre autorisation pour stocker des cookies de “Statistiques”.



Voir notre politique de confidentialité