How to treat chronic periodontitis?

by

How to treat chronic periodontitis?

Chronic periodontitis is the most complicated form of gingivitis, which is an inflammation of the gums. The destruction of the supporting tissues is related to a compatible amount of local factors, such as tartar above or below the gum. In this article, we will discuss chronic periodontitis and treatment options.

Here is a guide to understanding how to treat chronic periodontitis.

What are the characteristics of chronic periodontitis ?

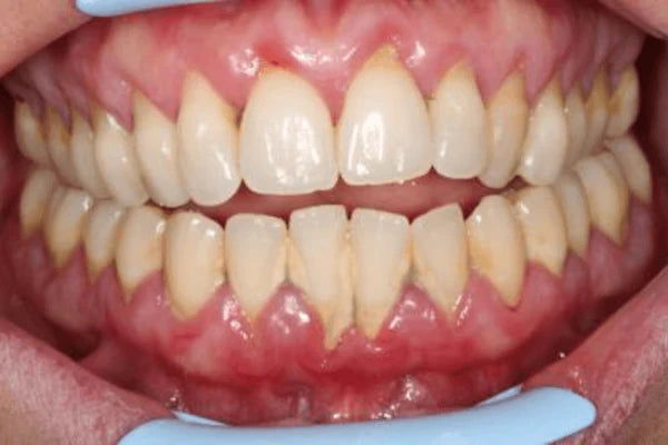
  Chronic periodontitis is a chronic and progressive inflammation, clinically characterized by gingival inflammation, bleeding on probing, decreased resistance of periodontal tissues to probing (periodontal pockets), loss of gingival attachment and alveolar bone. When left untreated in its early stages, gingivitis can progress to periodontitis, the most severe stage of the disease that affects the periodontium (the tissues that support the tooth) causing gingival recession, bone resorption and eventual tooth mobility.

The difference between gingivitis and periodontal disease

Gingivitis is characterized by swelling and redness of the gums. Another characteristic that indicates its presence is bleeding when the patient brushes or flosses his teeth. Periodontitis, on the other hand, presents even more dangerous symptoms and risks, being a second phase of this first disease. Periodontal disease is characterized by inflammation and destruction of the protective (gum) and supporting (bone, cement and periodontal ligament) tissues of the teeth. The main cause is poor oral hygiene associated with a susceptibility of the immune system.

How to treat chronic periodontitis ?

The mainstay of non-surgical treatment of chronic periodontitis is always to modify or eliminate bacterial plaque, as well as the risk factors that contribute to the disease. Procedures such as scaling and root planing, in addition to complementary therapies, contribute to successful treatment. You should seek out a periodontist who will instruct you in oral hygiene and perform subgingival scaling.

You can also brush your teeth with a Y-Brush toothbrush that allows you to brush all sides of your teeth simultaneously and provides 3 modes of vibration: gentle, normal and intensive to take the best care of your teeth.

 

What is the difference between chronic and aggressive periodontitis?

Aggressive periodontitis differs from chronic periodontitis in that it progresses rapidly, there is no significant plaque or tartar buildup and there is a family history of aggressive disease.

Why is periodontitis not curable ?

Periodontitis is curable. However, the consequences resulting from its presence are not reversible. This means that the bone loss and the rupture of the periodontal ligaments that have already occurred do not regenerate. In this case, the treatment consists of removing and controlling the plaque and tartar.

What is the classification of periodontal diseases?

What is the classification of periodontal diseases

  • Gum disease.
  • Chronic periodontitis.
  • Aggressive periodontitis.
  • Periodontitis as a manifestation of systemic diseases.
  • Necrotizing periodontal diseases.
  • Periodontal abscesses.
  • Periodontitis associated with endodontic lesions.
  • Developmental conditions and malformations.

 
In advanced periodontitis: In this final stage of the disease, the fibers and bones supporting the teeth are destroyed, causing the teeth to migrate or shift, become loose or loose. This can affect your chewing, and if not treated effectively, you may lose your teeth. Therefore, it is extremely important to see a dentist or periodontist immediately if you notice any signs of gingivitis.

We hope this guide has helped you understand what chronic periodontitis is. We also hope that you have understood the difference between gingivitis and periodontal disease. It is important to know the difference between chronic and aggressive periodontitis as well as all the characteristics of chronic periodontitis. It is your dentist who will know how to best manage your chronic periodontitis.

THE PRODUCTS

Our Services

Lifetime warranty with subscriptions
48-hour customer service response
48-hour customer service response
Ships from the USA
En savoir plus
Top
Added To Cart :
Add To Cart Failed :
prouduct successfully added to wishlist !




Afin d’avoir une expérience personnalisée sur notre site, nous avons besoin de votre autorisation pour stocker des cookies de “Statistiques”.



Voir notre politique de confidentialité