How to get rid of black gum disease?

by

How to get rid of black gum disease?

If you are here, it is because you have black decayed gums. Indeed, if you do not have good oral hygiene, it happens very often that black tartar spots form on the gums and cause dental problems such as cavities. It is therefore necessary to better understand this phenomenon, its implications and what you can do to get rid of it as quickly as possible.     

Here is a guide on how to treat a cavity on black gums.

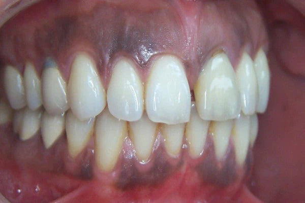
What is black gums with cavities ?

Gums turn black when a tooth decay reaches a maximum severity stage and turns into periodontitis. In case of untreated periodontitis, the gums can become necrotic and black. The cells of the tissues die, which explains this change of color. This pigmentation of the gums is most often accompanied by pain. This is why it is important to consult a dentist.

The different causes of black decayed gums  

Having black gums does not necessarily indicate that you have an oral disease. It is a phenomenon that is perfectly normal. However, if you have black gums with cavities, you are in a special situation.

Here are the different causes of black decayed gums:

  • Excessive smoking: Cigarette smoke is particularly hot and contains toxic compounds that cause blackening of the gums.
  • Addison's disease: It is a primary adrenal insufficiency. It causes: weakness, fatigue, hyperpigmentation or black spots on your gums involving the skin and mucous membranes. Low serum sodium, high serum potassium and high urea are also seen.
  • Gum angioma: This is a benign vascular tumor that forms when the blood vessels near the gum surface are irregular in shape and size, creating black clusters on the gums. The brown color is usually only localized on one part of the gum.
  • Melanoma: Malignant melanoma can cause pigmentation of the gums. It is important to have a biopsy to establish a diagnosis.
  • A metal-ceramic crown: Metal-ceramic crowns have many advantages, but over time, the gums wear down and a small black line may appear at the neck of the tooth.
  • A hematoma: A shock to the tooth can lead to a hematoma in the gum. Generally, it is slightly swollen, blackish and can be painful.

Tips to reduce pain

It is important to maintain good oral hygiene by following some simple tips that will make you feel less pain when brushing your teeth. All these tips do not need to be reproduced on medical advice.

Here are some tips to help you feel less pain:

1) Brush your teeth and use mouthwash


Since your gums are particularly sensitive, it is recommended that you brush your teeth after each meal. It is also important to brush your teeth with a mouthwash that is adapted to black gums but also without alcohol.

Here is a mouthwash that you can use for example:

Ballot-Flurin mouthwash


It is a mouthwash sold at the price of 13.95 € on the site Onatera. It has a foaming formula that removes plaque and drains food residues. It contains white propolis that regenerates the gums and purifies the breath by respecting the oral mucosa.

2) Get into the habit of flossing


Flossing removes food residues that are lodged in areas that are difficult to reach with a manual toothbrush or a basic electric toothbrush. It's important to floss between your teeth after every meal. 

3) Brush and clean your tongue too


The tongue is a place where a number of bacteria and acids usually form. They reach the gums to blacken them. Therefore, it is important to brush your tongue twice a day to remove the plaque that has formed on your teeth and gums.

4) Stop all your bad habits


Here is what you must do:

Maintain rigid oral hygiene:
You must stop all forms of smoking and brush your teeth regularly.

Adopt a good diet:
You must eat a healthy diet rich in calcium, iron and vitamin C and D to regain beautiful teeth and gums.

Avoid stress:
You should not smoke, neglect your diet or not have regular dental check-ups because of stress.

Don't drink alcohol:
the sugar in alcoholic beverages causes cavities and darkens the gums.

You can use the Y-Brush toothbrush. It is a toothbrush recommended by dentists, clinically validated. It has bristles angled at 45° on the sides to brush without aggression to the gums and gum line. You can also use Y-Brush dental floss. This floss allows you to clean effectively and gently between each tooth and is very easy to use thanks to its handle. The floss is easy to insert in the interstices and interdental spaces, and does not damage the gums.

 

Treatments for cavities on black gums

Treatments for cavities on black gums are treatments that are used on medical advice. You must ask your dentist to evaluate the condition of your gums. Depending on its condition, he or she will advise you on the type of treatment you need.

Root canal treatment


When the damage caused by a cavity is too deep to be treated by the previous methods, your dentist may suggest a root canal. A cavity that penetrates deep into the dentin can attack the nerves of the tooth root. The procedure involves removing the damaged nerve and surrounding blood vessel tissue, then filling the hole with an endodontic sealant. The dentist must file down a large portion of the tooth during the root canal procedure and may also decide to place a crown on the affected tooth at the end of the session.

Extraction


Tooth extraction is usually the last resort to treat a cavity. It is performed when previous treatments have failed or when the treatment is insufficient. This option is only considered if the destruction of the dental tissue increases the risk of spreading the infection to the jawbone. For decayed teeth that are easily accessible, your dentist will perform an extraction that does not require an incision or general anesthesia. The extraction of the tooth will leave a hole in your teeth. To remedy this, you can request a partial denture, a bridge or an implant.

Fillings


A filling is the most common treatment for moderate to severe cavities. The technique consists of drilling the affected tooth, removing the decayed tissue inside and filling the hollowed space with a suitable material. The goal is to restore the full strength of the tooth structure. In terms of materials, composite resin is generally used, especially for interproximal cavities (which occur between the teeth), but other materials can be used. Depending on the severity and location of your cavity, your dentist will be able to determine the most appropriate option.

Tooth devitalization


When the cavity is too deep, it is unfortunately impossible to keep the tooth alive. Once the dental pulp is affected, the pain must be prevented and the tooth must be devitalized under local anesthesia. The first step is to remove the pulp tissue and then disinfect the area. Indeed, the decay may have contaminated the pulp and lead to necrosis of the canals: this is what causes toothache. Once cleaned and drained, the root canals will need to be shaped to prepare them to be blocked. Finally, the dentist reconstructs the shape of the tooth to return it to its natural use.

Solutions to quickly get your teeth white again

There are a number of cosmetic surgery solutions that will allow you to get your teeth white again after treating your gum disease. You will be able to obtain results quickly without feeling any pain.

Dental prostheses


These are generally fixed dental prostheses that replace a part of the tooth or one or more teeth, permanently. They allow you to restore balance to your teeth after a cavity in your gums has turned black. The result is usually close to that of your normally white teeth. In addition, they allow you to regain the aesthetics of a natural smile and chewing functions without having to remove them for maintenance.

Dental bleaching


There is in-office teeth whitening: It is possible to remove black stains on the teeth by proceeding with in-office teeth whitening, generally in one or two sessions. This is a painless and quick technique that removes all the stains from the enamel and lightens your teeth. There is also home tooth whitening. It is an interesting option to remove stains on teeth but it is imperative to choose the right whitening gel. Generally, you should choose a teeth whitening guide. The whitening gel contained in the kit must contain hydroxyapatite, a mineral that helps strengthen tooth enamel.

Dental veneers

Another way to remove stains from your teeth is to apply dental veneers. These are thin films that cover your black teeth and gums. It is a permanent mask of the tooth. Veneers are a very good solution when stains come back without fail after chairside whitening. The color of the veneers can be chosen, as well as the shape, allowing for a custom treatment. Two chairside sessions are required. In addition, an annual follow-up is recommended to remove tartar. 

Dental crowns


When the tooth is very damaged, it is also possible to proceed with a dental crown. This is an aesthetic prosthesis that replaces the entire visible tooth (above the gum line), and allows it to perform all its functions: mastication, support of the immediate teeth and jaw, and protection of the root. It will come to cover the tooth. They are resistant and durable and generally offer a very natural result. 

We hope that this guide has helped you understand what it means to have black gums with cavities. We hope that you have understood the different causes of this oral problem. Following these tips will help relieve your pain. The treatments and solutions depend on the advice your dentist will give you according to your oral profile and your dental sensitivity. 

THE PRODUCTS

Our Services

Lifetime warranty with subscriptions
48-hour customer service response
48-hour customer service response
Ships from the USA
En savoir plus
Top
Added To Cart :
Add To Cart Failed :
prouduct successfully added to wishlist !




Afin d’avoir une expérience personnalisée sur notre site, nous avons besoin de votre autorisation pour stocker des cookies de “Statistiques”.



Voir notre politique de confidentialité