Having gum pain: What are the related problems?

by

Having gum pain: What are the related problems?

If you are here, it is because you have pain in your gums. You feel a strong pain, a suffering or an unpleasant effect at the level of your gums in a punctual or recurring way in a restricted or extended area of your gums. Don't panic, we will explain to you the problems linked to this gum disease when you have one or more inflammatory gums.  

Here is the guide that will allow you to understand what exactly gum disease is and all the problems related to gum disease. 

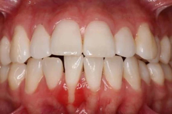
What is gum pain?

When your teeth are particularly clean and well brushed, the gums surrounding them are pink. On the other hand, if they are not, plaque accumulates on their surface and the gums become rather painful.

While brushing the teeth, they can be sensitive and cause slight pain. But the pain can persist, be more or less strong, and more or less disabling. They will therefore prevent you from having a good diet and cause you pain when you eat.

The symptoms of gum disease

  • tooth sensitivity when brushing your teeth
  • reddish, swollen, shiny gums
  • a bad breath that persists
  • bleeding when brushing the teeth that persists
  • numbness or tingling
  • more or less diffuse dental pain

Causes of gum disease

  • Tooth decay: It is one of the first causes of toothache. It is characterized by the initial damage to the tooth enamel. Then, a cavity forms inside the enamel of the tooth and spreads deeply to reach the dentin. At this stage, sharp and brief pains can be felt especially when eating hot, cold or sweet foods.

  • Gingivitis: This is an inflammation that occurs when there is an infection following the accumulation of dental plaque and tartar on the gum line. This situation occurs in someone who does not have good oral hygiene.

  • Infection or superficial ulcers: i.e. canker sores. Wearing ill-fitting dentures or improperly positioned braces can also cause gum disease.

  • Periodontitis: If left untreated, gingivitis can develop into a more serious periodontal disease and alter the supporting tissues and bone that surround the tooth. This is called periodontitis. Teeth are less well anchored, become loose and may even fall out.

  • Misaligned teeth: Teeth that are misaligned are much more difficult to clean properly. Indeed, certain areas may be very difficult to access and retain certain food debris, a situation that is unfortunately favorable to the accumulation of dental plaque.

  • Orthodontic braces: Poorly fitted orthodontic braces can irritate and damage the gums. Don't be too concerned and go to your orthodontist for adjustments early in your treatment. 

  • Hormonal changes: Hormonal variations will lead to an increased sensitivity of the tissues supporting the teeth, i.e. the periodontium, which includes the gum, the cementum, the ligament and the bone, with an increased risk of gingivitis. This is why gum pain is also more frequent in some people.

Solutions that reduce gum pain

  • It is important to brush your teeth and tongue twice a day for less than 20 to 30 minutes after eating
  • Use fluoride toothpaste to avoid cavities on your teeth.
  • It is important to limit the consumption of foods or drinks that are particularly sweet.
  • It is important to eat a well-balanced diet with foods that are neither too sweet nor too salty.
  • It is important not to smoke, either occasionally or repeatedly.
  • It is important to drink something cold: cool water and ice cubes will relieve the pain and may even help to temporarily reduce the swelling of your gums.
  • It is important to take an anti-inflammatory medication to reduce the swelling of your gums and help your gums heal. Medication can only be taken under medical supervision.

You can use the Y-Brush toothbrush to brush your teeth. It is a toothbrush that offers an effective brushing of each tooth, in only 10 seconds but also of the gums without hurting your gums.  

 

Natural ways to relieve gum disease and take care of it

  • Sage: It is the plant which allows to clean and treat the inflammations of the oral mucosa. The principle of use is simple: it can be used by infusing about 3g of dried leaves in a cup of boiling water for ten minutes and using it as a mouthwash twice a day or to massage the gums with a compress.
  • Propolis: Daily use of an alcohol-free mouthwash contains 5% green propolis, which reduces a good part of the dental plaque. The gingival index, which measures the inflammation of the gums, was improved by 40%.
  • The clove: The seed of clove contains an active principle which is called: the eugenol, the clove is for a long time considered as an aid against the pain. It allows to fight against the sensitivity of the teeth and the gums.
  • Garlic: Raw garlic is recommended for medical use in order to preserve the active compounds. There are several suggestions: you can apply a peeled raw garlic clove on the painful tooth, or you can make a paste from raw garlic cloves, salt and olive oil and apply it on the tooth.

Medical operations to treat gum disease

  • Root planing: this is a thorough scaling that removes all the tartar that is located under the gums. It is performed under local anesthesia so that the gum can be properly attached to the tooth.
  • The sanitation flap technique: this technique consists of opening the gum to remove tartar from the dental roots and sanitize the areas to be treated.
  • Guided tissue regeneration: this technique consists of placing a membrane containing a bone substitute on the affected areas to facilitate the regeneration of the destroyed bone and the reattachment of the gum;
    A bone graft is placed to fill the empty spaces between the gum and the tooth;
  • Gum grafts: can be performed to protect the bare and sensitive parts of the tooth roots, or even to restore the gum to its normal appearance.


We hope this guide has helped you understand what gum disease is. We hope that you will be able to identify the symptoms and causes of gum disease. Natural solutions and remedies can help relieve gum disease. Only medical operations are solutions that can put an end to it.

THE PRODUCTS

Our Services

Lifetime warranty with subscriptions
48-hour customer service response
48-hour customer service response
Ships from the USA
En savoir plus
Top
Added To Cart :
Add To Cart Failed :
prouduct successfully added to wishlist !




Afin d’avoir une expérience personnalisée sur notre site, nous avons besoin de votre autorisation pour stocker des cookies de “Statistiques”.



Voir notre politique de confidentialité